Dažniausios vaikų įgimtos anomalijos
Dažniausios vaikų įgimtos anomalijos
Vaikų sveikata yra prioritetas kiekvienam. Deja, mažieji pacientai, kaip ir suaugusieji, susiduria su įvairiomis ligomis, kurių dalis reikalauja chirurginio įsikišimo. Šiame straipsnyje apžvelgsime dažniausiai pasitaikančias chirurgines vaikų ligas, pradedant kvėpavimo takų infekcijomis ir baigiant urogenitalinėmis anomalijomis. Aptarsime ligų priežastis, simptomus, diagnostikos metodus ir gydymo būdus, siekiant suteikti išsamią informaciją tėvams ir globėjams.
Kvėpavimo takų ligos vaikams
Kvėpavimo takų ligos yra dažna problema įvairaus amžiaus vaikams. Olandijoje atlikto tyrimo duomenimis, surinktais nuo 1987 iki 2001 metų, net 25 proc. vaikų į pirminės grandies gydytojus kreipėsi būtent dėl su kvėpavimo takais susijusių ligų. Higienos instituto Lietuvoje registruotais duomenimis, vaikų sergamumas viršutinių kvėpavimo takų (VKT) ligomis 2016 metais siekė 544,7/1 000 vaikų, sergamumas pneumonija 2016 metais - 32,5/1 000 vaikų. Tai rodo, kad vaikai dažniau serga kvėpavimo takų infekcijomis nei suaugusieji.
Ūminės kvėpavimo takų infekcijos (ŪKTI) - tai infekcijos, trunkančios iki 30 dienų ir galinčios pažeisti bet kurią kvėpavimo takų dalį, nuo prienosinių ančių iki pleuros ertmės. Pagal anatomiją, šios ligos skirstomos į viršutinių kvėpavimo takų (VKT) ir apatinių kvėpavimo takų (AKT) infekcijas. VKT apima kvėpavimo takų dalis nuo nosies ertmės ir vidurinės ausies iki gerklų, o AKT - trachėją, bronchus ir plaučius.
VKT infekcijos yra dažnesnės, tačiau paprastai lengvesnės ir sukelia mažiau komplikacijų. Dažniausios komplikacijos - ausies infekcijos (klausos sutrikimai) arba faringotonzilitas (reumatinė karštinė). AKT infekcijos paprastai būna sunkesnės, todėl ir jų sukeltos komplikacijos yra dažnesnės, ypač tarp mažų vaikų. Pagrindinės AKT infekcijų komplikacijos - sunki pneumonija, obstrukcinis bronchitas, sunkus bronchiolitas, kvėpavimo nepakankamumas ar ūminis kvėpavimo distreso sindromas, emfizema, plaučių abscesai, meningoencefalitas.

Dažnos vaikų VKT infekcinės ligos
- Ūminis nazofaringitas: Tai ūminis nosies ertmės, nosiaryklės ir ryklės gleivinės uždegimas, kurį dažniausiai sukelia rinovirusai (daugiau kaip 50 proc. atvejų), taip pat kiti virusai (pvz., respiracinio sincitijaus viruso (RSV), gripo ir paragripo virusai, adenovirusai, koronavirusai, žmogaus metapneumovirusai, bokavirusai), retais atvejais - bakterijos (S. pneumoniae, H. influenzae ir kt.). Rizikos veiksniai: vaikų kolektyvo lankymas, imuninės sistemos nepakankamumas, gretutinės ligos, alergija, stresas, prasta mityba, aktyvus ar pasyvus rūkymas. Ūminis nazofaringitas pasireiškia peršalimui būdingais simptomais, tačiau kartais galimos jo komplikacijos, tokios kaip ūminis vidurinės ausies uždegimas, astmos paūmėjimas, ūminis sinusitas, ūminės AKT ligos ar kraujavimas iš nosies.
- Ūminis faringotonzilitas: Tai ūminis tonzilių, ryklės ir aplinkinių minkštųjų audinių uždegimas, kurį gali sukelti tiek virusai, tiek bakterijos. Dažniausi virusiniai sukėlėjai: adenovirusai, gripo ir paragripo virusai, enterovirusai, Ebsteino-Barr virusas, citomegalo, Herpes simplex virusai, ŽIV ir kt. Bakterinį faringotonzilitą dažniausiai sukelia A grupės beta hemolizinis streptokokas (S. pyogenes). Rizikos veiksniai: artimas kontaktas kolektyvuose, darželiuose, mokyklose, šeimose. Svarbu kuo anksčiau diagnozuoti ir pradėti gydyti streptokokinį faringotonzilitą dėl galimų sisteminių komplikacijų, tokių kaip ūminis reumatas, ūminis glomerulonefritas, streptokokinis toksinio šoko sindromas, neuropsichiatrinis sutrikimas. Galimos vietinės ūminio faringotonzilito komplikacijos: kaklo ar galvos pūliniai, limfadenitas, ūminis vidurinės ausies uždegimas, sinusitas, nekrotizuojantis fascitas, mastoiditas, pneumonija, meningitas, sepsinis artritas ir kt.
- Ūminis vidurinės ausies uždegimas: Tai ūminis vidurinės ausies gleivinės uždegimas, dažniausiai sukeliama bakterijų, tokių kaip Streptococcus pneumoniae, Haemophilus influenzae, Moraxella catarrhalis. Rizikos veiksniai: imuniteto nepakankamumas, įgimtosios anomalijos, VKT infekcijos, adenoidų hipertrofija, alergija, gastroezofaginio refliukso liga, čiulptuko naudojimas, vaikų kolektyvo lankymas, pasyvus rūkymas. Komplikacijos pagal lokalizaciją skirstomos į ekstrakranijines (būgnelio perforacija, mastoiditas, n. facialis parezė, labirintitas, petrozitas, lėtinis vidurinis otitas) ir intrakranijines (smegenų abscesai, sigmoidinio sinuso trombozė, pūlingas meningoencefalitas), taip pat galimas otogeninis sepsis.
- Ūminis epiglotitas: Tai gerklų įeigos uždegimas, kurį gali sukelti infekciniai ir neinfekciniai veiksniai (svetimkūniai, nudegimai, angioedema ir kt.). Infekcinį epiglotitą dažniausiai sukelia Haemophilus influenzae B infekcija. Rizikos veiksniai: ankstyvasis amžius, įgimtosios kvėpavimo organų ligos, neskiepijimas Hib vakcina, imunodeficitas, Dauno sindromas. Tai pavojinga infekcija, galinti sukelti tokias komplikacijas kaip antgerklio pūlinys, nekrozinis epiglotitas, antrinė infekcija (pneumonija, meningitas ir kt.) bei gyvybei pavojingą asfiksiją.
Pagrindinės vaikų AKT ligos
- Ūminis bronchitas: Tai ūminis bronchų gleivinės uždegimas, dažniausiai pasireiškiantis kūdikiams ir ikimokyklinio amžiaus vaikams. Net iki 25 proc. visų ūminių bronchitų traktuojami kaip obstrukciniai dėl būdingo bronchų laidumo sutrikimo, pasireiškiančio dusuliu. Obstrukcinis bronchitas būdingesnis vaikams iki 3 metų, sergantiems ūmine virusine infekcija.
- Bronchiolitas: Tai vaikams iki 2 metų būdinga infekcinė bronchiolių liga, pasireiškianti švokščiančiu alsavimu ir dusuliu. Ši ūminė AKT liga yra viena pagrindinių vaikų iki 1 metų hospitalizacijos priežasčių. Dažniausiai bronchiolitą sukelia RSV, rečiau - kiti virusai. Rizikos veiksniai: neišnešiotumas, amžius iki 3 mėnesių, lydinčios ligos, imunodeficitas, vyriškoji lytis, motinos rūkymas, prastos socialinės ir ekonominės sąlygos.
- Pneumonija: Tai plaučių audinio infekcija. Sukėlėjai gali būti įvairūs virusai (pvz., RSV), o virusinės kilmės pneumonija vaikams iki 2 metų nustatoma net iki 80 proc. atvejų. Neretai, ypač vyresniems vaikams, šią infekciją sukelia bakterijos, iš kurių dažniausia S. pneumoniae. Rizikos veiksniai: mažas svoris, prasta mityba, imunodeficitinės būklės, gretutinės ligos, prastos socialinės ir ekonominės sąlygos, aktyvus ar pasyvus rūkymas, aplinkos užterštumas, neskiepijimas ar skiepijimo sistemos neefektyvumas.
AKT ligos yra retesnės už VKT ligas, tačiau dėl sunkesnės ligų formos dažniau pasireiškia jų komplikacijos, vaikai dėl jų neretai yra hospitalizuojami. RSV sukelta kvėpavimo takų obstrukcija yra pati dažniausia vaikų hospitalizacijos priežastis pasaulyje.
Chirurginės ligos vaikams
Chirurgija yra viena iš plačiausio spektro medicinos sričių. Susidūrus su tam tikrais sveikatos sutrikimais, į chirurgus tenka kreiptis tiek suaugusiems, tiek vaikams. Esant įgimtoms ar įgytoms krūtinės, plaučių, pilvo, tiesiosios žarnos ar kitų organų ydoms vaikų chirurgo konsultacija yra neišvengiama. Vaikams, sergantiems rože ar odos infekcijomis būtina apsilankyti pas vaikų chirurgą. Šis specialistas taip pat gydo įvairias po traumų atsiradusias žaizdas, nudegimus, įaugusius nagus. Inkstų akmenligė, šlapimo pūslės ligos, šlapinimosi sutrikimai, varpos ir sėklidžių sklaidos sutrikimai - taip pat dažnos apsilankymo pas vaikų chirurgą priežastys. Jaunesnio amžiaus vaikų išvaržos paprastai būna įgimtos.
Jei vaikas skundžiasi pilvo, išangės, lytinių organų skausmais, ant jo kūno galima apčiuopti išvaržą, matomi neįprasti dariniai, padidėję limfmazgiai, taip pat vaikui patyrus traumą, būtina kreiptis į vaikų chirurgą.

Dažniausios ūminės chirurginės vaikų ligos
Atlikus sisteminę literatūros analizę nustatyta, kad dažniausios ūminės chirurginės vaikų ligos: ūminis apendicitas, sėklidžių užsisukimas, žarnų invaginacija, žarnų nepraeinamumas ir įstrigusi kirkšnies išvarža. Skubaus gydymo prireikia, kai vaiką vargina skausmas, vėmimas, tam tikros išskyros, kraujavimas iš virškinamojo trakto ar skausmingi sutrikimai, karšti dariniai su karščiavimu.
Planinė chirurginė pagalba vaikams
Planinė pagalba vaikams galima, kai diagnozuojama neįstrigusi išvarža: bambos, baltosios linijos, odos bei poodžio dariniai, epiderminės cistos, apgamai, fibromos, įaugę nagai, dėl nusileidusios sėklidės, fimozės, kitų urologinių chirurginių ligų.
Operacijų laikas
- Kirkšnies išvarža turėtų būti operuojama planine tvarka, nustačius diagnozę ir esant saugiai anestezijai. Įstrigusią išvaržą bandoma atstatyti.
- Bambos išvarža operuojama ikimokykliniame amžiuje.
- Kaklo cistos ir fistulės operuojamos 3-5 metų amžiuje.
- Hidrocelė operuojama nuo 12-18 mėnesių amžiaus.
- Kriptorchizmas operuojamas 6-12 mėnesių amžiuje.
- Hipospadija operuojama 6-18 mėnesių amžiuje.
Urogenitalinės anomalijos
Urogenitalinės anomalijos ir ligos nustatomos kartais dar kūdikiui net negimus - dar motinos įsčiose. Ultragarsinių tyrimų metu pastebėjus specifinių požymių gali būti įtariama reta liga, kuriai patvirtinti atliekami ir genetiniai tyrimai tam, kad būtų galima planuoti gydymą kūdikiui gimus arba, deja, net nutraukti nėštumą, jei anomalijos nesuderinamos su gyvybe.
Yra kelios retų urogenitalinių ligų grupės: vaikų onkologija, nugaros smegenų anomalijos su neurogeniniu šlapinimosi ir tuštinimosi pakenkimu, įvairios genitalijų anomalijos. Iš rečiausiai pasitaikančių paminėtinos dvi: viena iš jų - tai įvairios ekstrofijos, kai nesusiformuoja apatinė pilvo dalis, kai nėra funkcionuojančios tik šlaplės arba kartu ir pūslės, arba kartu ir žarnos. Kita grupė - įgimtos genitalinės anomalijos, kai gimus vaikui, neaišku, kokia jo lytis.

Genetinių veiksnių įtaka vaikų sveikatai
Žmogaus ir medicinos genetikos svarba asmens sveikatos priežiūroje didėja. Genetikos mokslo laimėjimai ir praktinis jų taikymas turi įtakos įvairioms medicinos sritims. Genetiniai veiksniai yra svarbūs vėžinių, širdies ir kraujagyslių, nervų ir kitų sistemų ligų, įgimtų anomalijų etiologijai. Medicininės genetikos pažanga padeda diagnozuoti, gydyti įvairias ligas. Šeimos gydytojas dažnai būna pirmasis specialistas, kuriam tenka bendrauti su pacientais, sergančiais įvairiomis genetinėmis ligomis, šeimomis, auginančiomis vaikus su raidos anomalijomis.
1 iš 100 gimusiųjų serga monogenine liga ir jie yra įvairių specialybių gydytojų pacientai. Chromosominėmis ligomis serga 1 iš 150 gimusiųjų, iš kurių du trečdaliai būna su protine ir fizine negalia. Genetinių ir aplinkos veiksnių sąveika labai svarbi daugiaveiksnės (kompleksinės) etiologijos ligoms, kuriomis serga ir vaikai, ir suaugusieji, atsirasti. Daugiaveiksnės etiologijos ligų dažnis yra net 646 asmenų iš 1 000, o somatinių ląstelių genetinių ligų (onkologinių ligų) dažnis - maždaug 240 iš 1 000 gyventojų. Dėl genetinių ligų ligoninėse užimta net 30 proc. vaikų ir 10 proc. suaugusiųjų lovų.

Įgimti raidos defektai, deformacijos ir disrupcijos
Įgimti raidos defektai, deformacijos ir disrupcijos atsiranda dėl sutrikusios embriono ar vaisiaus raidos. Dėl šios anomalijos hospitalizuojama iki 50 proc. visų pacientų, jos yra 10 proc. visų perinatalinio laikotarpio mirčių ir 40 proc. visų kūdikių mirčių priežastis. Įgimti raidos defektai, deformacijos ir disrupcijos gali būti skirtingos etiologijos: 6-15 proc. - dėl chromosomų aberacijų (pvz., Dauno liga), 2-10 proc. - dėl vieno geno mutacijos (pvz., achondroplazija), 7-10 proc. - dėl aplinkos veiksnių poveikio nėštumo laikotarpiu (pvz., virusinė infekcija), 20-25 proc. - dėl daugiaveiksnės etiologijos, 40-60 proc. - dėl nežinomų priežasčių.
Įgimtas raidos defektas - tai organo, organo dalies ar didesnės kūno srities morfologinis defektas dėl vidinių veiksnių sąlygotos raidos anomalijos. Didžiųjų įgimtų raidos defektų diagnozuojama maždaug 3 proc. naujagimių. Pirmaisiais penkeriais gyvenimo metais dar papildomai 2-3 proc. vaikų, kuriems po gimimo defektų nebuvo įtarta, diagnozuojama didžiųjų įgimtų raidos defektų. Apie 0,7 proc. pacientų, kuriems diagnozuota įgimtų raidos defektų, yra dauginių raidos defektų (diagnozuoti du arba daugiau skirtingų sistemų defektai, pvz., nesuaugęs gomurys ir inkstų agenezė).
Deformacija - tai anomalūs kūno dalies forma, kontūrai ar pozicija, dažniausiai dėl mechaninių veiksnių poveikio. Jos diagnozuojamos 2 proc. naujagimių ir dažniausiai yra sąlygotos intrauterinio suspaudimo ar sulėtėjusių vaisiaus judesių paskutinįjį nėštumo trimestrą.
Disrupcija - tai organo, organo dalies ar didesnės kūno srities morfologinis defektas, sukeltas išorinių veiksnių poveikio, sutrikdantis normalią embriono ar vaisiaus raidą. Maždaug 1 iš 2 000 naujagimių diagnozuojama įgimtų raidos defektų dėl plyšusio amniono maišelio.
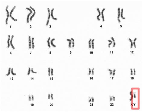
Chromosominės ligos
Chromosominės ligos - tai įgimtų ligų grupė dėl chromosomų skaičiaus ar struktūros pokyčių. Kliniškai diagnozuojamos įvairios anomalijos. Šių ligų etiologija: chromosomų ir genominės mutacijos. Žinomi trys genominių mutacijų tipai: tetraploidija, triploidija ir aneuploidija. Chromosomų mutacijų tipai: delecija, duplikacija, inversija, translokacija. Dėl chromosomų aberacijų sutrinka genų pusiausvyros koordinuojama genų veikla.
Daugumai chromosominių ligų (autosomų aberacijų) būdingi dauginiai raidos defektai, mikroanomalijos, intrauterinis ir atsilikęs postnatalinis augimas, sutrikusi protinė raida.
Dauno sindromas
Dauno sindromas - įgimta liga, kuriai būdingi dauginiai raidos defektai, mikroanomalijos bei sutrikusi protinė raida. Maždaug 1 iš 800 gyvų gimusiųjų diagnozuojamas Dauno sindromas. Apie 75 proc. vaisių, kuriems yra 21 chromosomos trisomija, miršta intrauteriniu laikotarpiu. Apie 95 proc. atvejų nustatoma paprasta 21 chromosomos trisomija (dėl neatsiskyrusių chromosomų mejozės metu), kariotipas 47,XY+21.
Vaikų onkologija
Vaikų onkologija yra medicinos šaka, nagrinėjanti kūdikių, vaikų ir paauglių vėžį. Kaip ir sergant suaugusiųjų vėžiu, yra daug skirtingų vaikų vėžio tipų, kuriems reikia skirtingų gydymo kursų. Vaikų augimui, vystymuisi, dinaminei mitybos būklei ir nesubrendusių organų funkcijoms reikia tiksliai dozuoti ir stebėti, ar neatsiranda ūminis ir ilgalaikis specifinis organų šalutinis poveikis. Todėl reikia parengtų šios srities pediatrų specialistų.
Tiek smegenų vėžys, tiek leukemija turi didžiausią mirtingumą tarp visų vaikų vėžio. Nors pastaraisiais metais buvo pasiekta daug pažangos gydant leukemiją, smegenų vėžio gydymas daugeliu atvejų vis dar yra sudėtingas. Taip pat žinoma, kad kaulų vėžys turi didelį mirtingumą. Maždaug 3-5% visų vėžiu sergančių pacientų Indijoje yra vaikai. Be to, remiantis Indijos vėžio draugijos duomenimis, kasmet vėžys diagnozuojamas apie 50,000 vaikų. Be to, šie vėžys gali būti išgydomi, jei anksti nustatomi ir gydomi patyrusių specialistų.
Dažniausios vaikų leukemijos rūšys yra ūminė limfoblastinė leukemija ir ūminė mieloidinė leukemija. Terminas „smegenų ir nugaros smegenų augliai“ reiškia nenormalias smegenų ar nugaros smegenų ląsteles. Dažniausios iš jų vaikams yra meduloblastomos, susidarančios smegenėlėse, ir gliomos, susidarančios pagalbiniame smegenų audinyje. Neuroblastoma yra vienas iš labiausiai paplitusių kietųjų navikų, paveikiančių kūdikius ir vystantis jų nerviniuose audiniuose. Gydymas gali apimti chirurgijos, chemoterapijos, radioterapijos, autologinės kaulų čiulpų transplantacijos ir imunoterapijos derinį.
Kiti dažni vaikų vėžio tipai yra inkstų vėžys (Vilms'o navikas), limfomos (Hodžkino ir ne Hodžkino), sarkomos (osteosarkoma, Ewingo sarkoma), retinoblastoma (akių vėžys).

Vaikų vėžio faktai ir gydymo informacija
Išnešiotų ir neišnešiotų vaikų sveikatos skirtumai
Kasmet pasaulyje gimsta vidutiniškai apie 15 mln., o Lietuvoje - apie 1000-1200 neišnešiotų kūdikių, t. y. tokių, kurie pasaulį išvysta iki 37 nėštumo savaitės. Naujausias Vilniaus universiteto Medicinos fakulteto mokslininkių dr. Rūtos Morkūnienės ir prof. Janinos Tutkuvienės atliktas ankstukų sveikatos tyrimas atskleidė, kad pirmieji septyneri jų gyvenimo metai yra kritiškai svarbūs - būtent per šį laikotarpį nustatoma net 80 proc. visų jų ligų. Dažniausiai neišnešiotiems vaikams pasireiškia akių ligos, įgimtos anomalijos ir tam tikros infekcinės ligos, be to, palyginti su bendra vaikų populiacija, jie net dešimt kartų dažniau serga kraujo ir imuninės sistemos ligomis.
Tyrimas atskleidė, kad ankstukai dažniau nei kiti vaikai serga įvairiomis ligomis, apimančiomis daugelį organizmo sistemų - ne tik tomis, kurios tradiciškai laikytos būdingomis prieš laiką gimusiems vaikams. Navikai, nervų sistemos ir psichikos sutrikimai, įgimtos ydos, šlapimo ir lytinės sistemos ligos jiems diagnozuojamos 3-4 kartus dažniau nei laiku gimusiems vaikams. Tam tikros infekcinės, endokrininės ir medžiagų apykaitos ligos - apie 2,5 karto dažniau. O raumenų ir akių ligos neišnešiotiems kūdikiams pasitaiko beveik du kartus dažniau nei visai vaikų populiacijai.
Mažesnis gimimo svoris turėjo stipresnę sąsają su didesniu diagnozuotų ligų skaičiumi nei nėštumo trukmė. Kitaip tariant, svarbiau ne kiek savaičių vaikas buvo nešiotas (nors šis faktas taip pat labai svarbus), kiek tai, kokio svorio jis gimė. Nors gestacinis amžius buvo mažiau reikšmingas ligų dažniui, tačiau labiau siejosi su skirtingomis kūno augimo trajektorijomis. Paaiškėjo, kad vaikai, gimę mažesnio svorio, augo lėčiau. Jų ūgis ir svoris nuo pat gimimo iki 12 metų liko žemesni nei jų bendraamžių, ypač berniukų.
Svarbu, kad stebėseną vykdytų daugiadalykė specialistų komanda - ne tik neonatologai, neurologai ar pulmonologai, bet ir kineziterapeutai, logopedai, psichologai ir kiti specialistai. Tokia komanda galėtų personalizuotai vertinti kiekvieno vaiko raidą ir laiku pastebėti pirmuosius sutrikimų ženklus. Kuo anksčiau pastebimi sunkumai, tuo daugiau galima pasiekti ankstyvuoju ugdymu ir terapija, nes šiuo laikotarpiu vaiko raida dar yra lanksti ir lengviau koreguojama.
tags: #dazniausios #vaiku #igimtos #anomalijos
